胸膜炎

【答题公式】临床技能-胸膜炎病例分析模拟试题

一、初步诊断(2分)右侧结核性渗出性胸膜炎(2分)(仅答出“结核性胸膜炎”得1.5分)。二、诊断依据(初步诊断错误,诊断依据不得分)(5分)1.青年男性,以咳嗽、胸痛为主要表现,伴盗汗、消瘦等结核中毒症状,抗感染治疗无效。(1.5分)2.体检及胸部X线片均提示右侧胸腔积液。(1分)3.血沉明显增快。(0.5分)4.胸水检查示渗出液,有核细胞分类以单核细胞为主,ADA>45U/L,Rivalta试验(+)。(2分)...

医考英才库 2022-05-10

一文读懂结核性胸膜炎

结核性胸膜炎是结核菌及其代谢产物进入处于高敏状态的胸膜腔引起的胸膜炎症。结核性胸膜炎的发病与结核菌感染及机体的免疫状态密切相关。发病机制与病理结核性胸膜炎的产生要有两个基本条件:一是结核菌及其代谢产物到达胸膜;二是机体对结核菌及其代谢产物的敏感性增高。脏层胸膜和壁层胸膜之间形成胸膜腔,正常情况下呈负压状态,有生理性液体(约0.3ml/kg)起润滑作用。机体在高敏状态下,结核菌和其代谢产物进入胸膜腔时,就会迅速引起胸膜的炎症反应。...

内科胸腔镜联合CO2冷冻治疗结核包裹性胸膜炎随机对照研究

本文原载于国际呼吸杂志, 2020,40(09)     : 656-660. DOI: 10.3760/cma.j.cn131368-20190403-00496 结核性胸模炎如今仍然呈高发态势,尤其是我国西部经济欠发达地区。发病人群以青壮年居多,有不少患者因得不到及时而有效的治疗导致预后差,甚至致残、劳动力丧失[1]。对于结核性胸模炎发病机制的认识仍存在争议,比较认可的观点是认为是结核杆菌引起的以T淋巴细胞介导的迟发型变态反应。结核性胸膜炎一旦诊断,往往已经形成包裹粘连,即使早期发现并规范抗结核治疗,仍有10%~72%形成包裹性积液,从而影响肺功能,导致预后差。有部分患者甚至需要外科手术治疗,费用高且存在手术大出血风险...

二氧化碳冷冻法在结核性胸膜炎中的临床运用

本文原载于国际呼吸杂志, 2020,40(08)     : 608-612. DOI: 10.3760/cma.j.cn131368-20160625-00692结核杆菌直接感染胸膜是结核性胸膜炎的主要发病机制[1],导致结核性胸膜炎生成的根本原因在于胸膜周围的结核发生了病变,并出现了不同程度的溃烂,基于此情况下,就会使病灶受到病菌感染从而扩展至胸膜腔,致使胸膜对结核毒素出现高度反应引起渗出,可发生于任何年龄,青壮年多见,由于结核性胸膜炎渗液中蛋白质较高,易导致胸膜粘连及肥厚,也就加大了胸腔抽液和胸水引流的操作难度,延误了疾病的有效治疗时间,从而对患者的生活质量及器官康复效果产生了重大影响。而目前在结核性包裹性积液治疗中,主要在全身抗痨治疗基础上,给予抽液及胸腔内注射药物为主,同时可弯曲内镜技术主要用于胸腔积液的诊断,在治疗中目前应用较少,本研究将可弯曲内镜下二氧化碳冷冻治疗用于结核性包裹性积液的治疗,有较好的疗效。...

胸腔积液宝典:常见病因的鉴别诊断及注意事项

*仅供医学专业人士阅读参考胸腔积液的知识点,get get get! 胸腔积液在呼吸科很常见,简单的简单,复杂的也非常复杂,一句话、一篇文章根本讲不清,所以我分2次和各位小伙伴聊聊这个熟悉的陌生人!1胸腔穿刺:被忽略的,但也是我们必须知道的冷知识 《内科学》第九版明确说了:疑为渗出液必须做胸腔穿刺,如有漏出液病因则避免胸腔穿刺。不能确定时也应做胸腔穿刺抽液检查。胸腔穿刺有没有禁忌症?诊断学教材没有提到胸腔穿刺有禁忌症!...

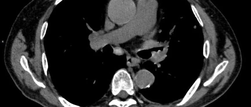
出现血性胸腔积液,是肿瘤还是结核?这篇文章给你答案

*仅供医学专业人士阅读参考一文搞定,不再误判! 现病史患者闫xx,男性,29岁,以“反复胸腔积液1年余”入院。患者于2020年4月因胸憋、气短就诊于当地市医院,考虑为结核性胸膜炎、右肺结核,给予抗结核治疗(异烟肼0.3g/日、利福平0.45g/日、吡嗪酰胺1.25g/日、乙胺丁醇1g/日)半年余。到2020年12月份复查胸部CT提示右侧胸腔积液较前增多,后来又调整了抗结核方案(异烟肼0.3g/日、利福平0.45g/日、吡嗪酰胺1.5g/日、乙胺丁醇1g/日、左氧氟沙星0.4g/日),一直规律用药,复查也提示右侧胸膜炎和右肺结核有明显好转。...

医学界影像 2021-09-01

男性,体检发现左肺阴影1周,请诊断!

欢迎大家下载医学影像app,查看更多经典病例!

医学影像APP 2020-07-21

急诊常见综合征(18)---心肌梗死后综合征

心肌梗死后综合征(PMIS)也称Dressler综合征:是指急性心肌梗死后数日至数周出现以发热、心包炎、胸膜

    上海医师在线信息技术有限公司 版权所有 ©   沪ICP备12005625号-1