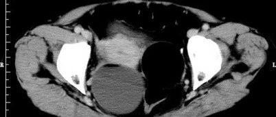
表现

双侧卵巢畸胎瘤!

医学影像  yxyx-app  医学影像APP,打造伴随医生快速成长的影像学习社区。与影像园(Xctmr.com)一起提供最全面的影像案例库、基础(解剖、病理、影像诊断)知识、影像技术及考题等,为医生提供最佳的医学影像参考。【所属科室】普外科【基本资料】患者,女,71岁【主诉】B超发现盆腔肿块一天【影像图片】【讨论问题】如何诊断?【医学影像APP用户讨论】评论:...

医学影像APP 2023-03-06

肝胆资讯 | APASL 2023:乙肝新药进展汇总(上)

2023年第32届亚太肝脏研究协会会议(APASL 2023)于2月15日-19日在中国台北召开。本次会议公布了多项慢性乙型肝炎(CHB)新药的最新研究数据,本文将重点介绍ALG-000184的研发进展,具体如下所述。ALG-000184给药28天在CHB患者中耐受性良好,并可迅速减少病毒标志物(摘要号:FP03-16)研究背景和目的ALG-000184是一类衣壳组装调节剂,是ALG-001075的前药。本研究旨在评估ALG-000184的安全性、药代动力学(pharmacokinetics,PK)和抗病毒活性。...

临床肝胆病杂志 2023-03-03

做梦多少不是病,而是一种生理现象

来源:深圳卫健委经常做梦正常吗?梦不是疾病的表现,而是一种生理现象。许多人每天晚上都会做梦,不管有没有梦的回忆,或者有没有梦感。每人每年大概有600个小时在做梦,会体验到1500个左右的梦境。所以不能说做梦了就表示没睡好,睡眠质量与做梦之间并没有必然的联系。如果因做梦感觉睡眠断断续续,或被梦惊醒后难以入眠,则可能影响睡眠质量。

医考之家 2023-03-03

患者下肢水肿,只知道补白蛋白 + 利尿?6 句口诀先牢记!

人体血管外组织间隙体液的积聚,即为水肿。受重力因素影响,下肢水肿较上肢水肿多见,它可以是局部病变的主要表现,也可以是全身疾病的一部分或早期反应。患者出现下肢水肿,一定要搞清楚原因,只有明确病因才能对症治疗,取得较好的治疗效果。血管及淋巴管是输送体液的主要通道,任何因素使体液偏离了通道就可能形成水肿。引起下肢水肿的原因和机制相对复杂,本文希望能够将复杂问题简单化。下肢水肿形成的原因01「淤堵」水肿的大多数原因是某些关键环节的「...

丁香园内分 2023-03-04

遗传性白细胞疾病分子异常与诊断(一)—— 原发性免疫缺陷疾病2

卢兴国 叶向军 (二)T−B− SCID1.重组酶激活基因1和2缺陷 重组酶激活基因1和2(recombinase-activating genes 1 and 2,RAG1/2)缺陷,约占SCID患者的6%。在约75%的RAG1/2缺陷患者中,都有非常低的T、B淋巴细胞和NK细胞数。这种SCID由RAG1和RAG2基因编码的产物——两种DNA结合蛋白中的一种发生突变而导致。这些蛋白质在指导免疫球蛋白和...

血液病整合诊断 2023-03-03

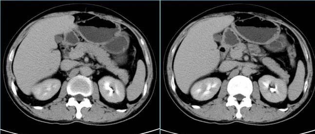
乳头状肾细胞癌!

医学影像  yxyx-app  医学影像APP,打造伴随医生快速成长的影像学习社区。与影像园(Xctmr.com)一起提供最全面的影像案例库、基础(解剖、病理、影像诊断)知识、影像技术及考题等,为医生提供最佳的医学影像参考。【所属科室】普外科【基本资料】患者,男,58岁【主诉】左后背胀痛10天【现病史】患者因“慢性支气管炎”入院,入院前10天无诱因出现左后背胀痛,局部按压及夜间疼痛明显,与吸气及活动无关,无阵发性加重及放射痛,伴咳嗽、咳少许白痰、心悸、胸闷、气短。无夜间阵发性呼吸困难...

医学影像APP 2023-03-01

患COVID-19两年后,CT扫描肺部异常仍持续存在!

*仅供医学专业人士阅读参考超过三分之一的参与者都存在这个表现……背景2019年冠状病毒病(COVID-19)大流行在全球范围内造成了前所未有的发病率和死亡率。尽管大部分SARS-CoV-2感染者已经康复,但人们担心COVID-19之后肺部等少数器官会持续受伤。然而,关于患COVID-19后长期肺部表现和功能的数据有限。2023年2月14日发表在Radiology上的一项研究,就纵向评估了SARS-CoV-2感染后患者胸部CT异常和肺功能的变化。...

医学界呼吸频道 2023-02-28

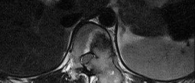
骨巨细胞瘤!

医学影像  yxyx-app  医学影像APP,打造伴随医生快速成长的影像学习社区。与影像园(Xctmr.com)一起提供最全面的影像案例库、基础(解剖、病理、影像诊断)知识、影像技术及考题等,为医生提供最佳的医学影像参考。【所属科室】骨科【基本资料】患者,女,30岁【主诉】腰背部酸痛1月【现病史】患者于1个月前无明显诱因出现腰背部酸痛,渐进性加重。【体格检查】...

医学影像APP 2023-02-24

腹痛,你考虑过这些病因吗?(内含9个病例CT图片解析)

仅供医学专业人士阅读参考图文并茂,干货满满~撰文 | 胡真真临床中因腹痛就诊的部分患者,因慢性腹痛长期就诊于不同医院,但往往病因不明、治疗效果不佳。慢性腹痛原因众多,其中一部分与腹腔血管、结构异常有关,如:血管异常走形、肠管走形变异,血管异常回流等等。这一类病变容易被临床医师、影像医生所忽略。笔者介绍几种相对常见的由腹腔动脉、腹腔肠道结构变异导致慢性腹痛的情况,给医师提供诊断思路。...

医学界影像 2023-02-24

腹痛,你考虑过这些病因吗?(内含9个病例CT图片解析)

仅供医学专业人士阅读参考图文并茂,干货满满~撰文 | 胡真真临床中因腹痛就诊的部分患者,因慢性腹痛长期就诊于不同医院,但往往病因不明、治疗效果不佳。慢性腹痛原因众多,其中一部分与腹腔血管、结构异常有关,如:血管异常走形、肠管走形变异,血管异常回流等等。这一类病变容易被临床医师、影像医生所忽略。笔者介绍几种相对常见的由腹腔动脉、腹腔肠道结构变异导致慢性腹痛的情况,给医师提供诊断思路。...

医学界影像 2023-02-24

    上海医师在线信息技术有限公司 版权所有 ©   沪ICP备12005625号-1