肺栓塞

2022 年呼吸领域必读指南盘点(附翻译版)

用药助手综合专家提名、用户查询、浏览排名,盘点 2022 年呼吸领域发布的国内外重要指南,现在免费查看(文末可获取全部),让大家临床诊疗更轻松。一、2022 年呼吸领域必读指南1、《2023 GOLD 慢性阻塞性肺疾病全球倡议:COPD 预防、诊断和管理全球策略》(译文)及其英文版2023 版慢性阻塞性肺病诊断、治疗和预防全球策略(GOLD 2023)与 GOLD 2022 相比,新指南有较大的更新,报告共新增了 387 篇参考文献,对很多图表都已进行了小幅度的修改和重新设计。值得注意的是,此版指南提出了慢阻肺的新定义、新分型、新的危险分组。...

丁香园呼吸时间 2023-02-21

肺癌合并肺栓塞的研究进展

杨欢欢, 陈虹. 肺癌合并肺栓塞的研究进展 [J] . 中华结核和呼吸杂志,2020,43 (07): 577-581. DOI: 10.3760/cma.j.cn112147-20200305-00254静脉血栓栓塞症(VTE)是恶性肿瘤常见的并发症之一,包括深静脉血栓形成(DVT)和肺血栓栓塞症(PTE)。肺栓塞是以各种栓子阻塞肺动脉或其分支为发病原因的一组疾病或临床综合征的总称,其中最常见的栓子为血栓,通常所称的肺栓塞即为肺血栓栓塞症。肺癌作为我国发病率和死亡率最高的恶性肿瘤,其肺栓塞的发生率高,临床特征不典型,难以识别,是肺癌患者预后不良的标志之一。本文就肺癌合并肺栓塞的相关进展进行论述,提供临床诊治线索。...

肿瘤科空间 2023-02-20

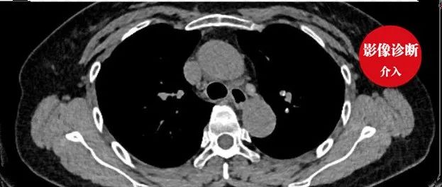
无典型胸闷、胸痛,为何其肺动脉呈现瘤样扩张?

*仅供医学专业人士阅读参考PVD的病因较为复杂,除血栓栓塞、左心或肺部疾病外,PVD的病因还包括血管炎、自身免疫性疾病。当前,血管炎、自身免疫性疾病与PVD的发病关联仍未明确,且血管炎、自身免疫性PVD的发病率不高。但是,为减少临床误诊、改善患者预后,血管炎、自身免疫性PVD患者仍需受到临床关注。《名院病案室-肺心保卫战2.0病例专场》里面有一则血管炎、自身免疫性PVD的病例。初诊医生考虑患者肺栓塞,但患者无典型胸闷、胸痛、下肢无血栓,且无遗传性易栓症,使得医生一度怀疑肺栓塞这一诊断的可靠性。...

医学界麻醉频道 2022-10-08

肺动脉 CTA 不会看?这篇教你轻松诊断肺栓塞!

肺栓塞(PE)各位都不会陌生,它的栓子可以是血栓、脂肪栓塞、羊水、肿瘤和空气等,其中由血栓引起的肺栓塞称之为肺血栓栓塞症 PTE 。因其不典型的症状和较高的致死率(诊断不明确的患者死亡率约 30%),肺栓塞一直是临床工作当中的沉默杀手。尽管患者在 48 小时之内接受干预可以获得较好的生存率,但如何早期有效地揪出这个「杀手」始终是临床医生面对的重中之重。CT 肺动脉造影(CTPA)简便、无创,且敏感性和特异性都很高,是诊断肺栓塞的首选检查。本文拟通过分析 CTPA 的图像表现,帮助大家更好地诊断肺栓塞。...

丁香园呼吸时间 2022-09-18

【病例报告】自体二尖瓣感染性心内膜炎合并围术期急性肺栓塞1例△

版权声明:本平台致力分享好文精选、精读。部分文章推送时未能与原作者取得联系。若涉及版权问题,敬请原作者在本公众号留言。本文刊于:岭南心血管病杂志,2022,28(04):369-371作者:陶  沙,郭志强,曾  嵘,李浩平,林纯莹,何鹏程通讯作者:何鹏程1  病例报告 患者,60岁,男性,因“发热、腹痛1月。”于2019年9月12日入院。患者1个月前无诱因出现发热、腹痛,最高体温39℃,伴腹泻,无粘液便,无咳嗽、咳痰,无胸闷、胸痛、气促,1个月前外院心脏超声提示:二尖瓣脱垂并感染性赘生物形成,中度二尖瓣关闭不全 轻度三尖瓣关闭不全,外院血培养:...

岭南心血管 2022-09-16

这不是钙化,是肺栓塞!

*仅供医学专业人士阅读参考胸部CT平扫能发现,增强CT反而不行? 前言随着诊断技术的进步,肺栓塞已不新鲜。肺栓塞有很多种,其中有一种肺栓塞,需要胸部CT平扫才能诊断,增强CT反而掩盖病情,非常容易漏诊。是什么奇葩的疾病呢?想来也不难,增强CT漏诊的肺栓塞,本质上讲就是密度很高的病灶引起的肺栓塞,增强CT扫描的时候造影剂是白色的,栓子也是高密度的白色,就傻傻分不清楚了。骨科手术并发的骨水泥肺栓塞,就是这种另类!...

医学界影像 2022-08-26

骨科术后抗凝误区,我们总结了 10 条

静脉血栓栓塞 (VTE)包括深静脉血栓形成 (DVT) 和肺动脉血栓栓塞症(PTE),是骨科手术十分常见的并发症,尤其多见于下肢手术或创伤,静脉血栓栓塞的预防需要引起重视。那么,有哪些静脉血栓与抗凝误区呢?又应该如何避免呢?来看看以下这 10 点总结吧~1伤后与术后抗凝过晚多项研究报道,伤后 24 h 血凝达到高峰,骨科大手术围术期 DVT 形成的高发期是术后 24 h 内,术后 6 h 纤溶达到高峰,持续到术后 18 h。...

丁香园骨科时间 2022-07-19

门静脉血栓为啥不会出现肺栓塞?

肝脏有双重血液供应,这是与腹腔内其他器官不同的。肝动脉是来自心脏的动脉血,主要供给氧气,门静脉收集消化道的静脉血主要供给营养。肝脏每分钟出现的血流量一般有一千五到二千毫升。肝脏的的主动脉血管分别有肝血管和出肝血管两个主线。进入肝血管的血管分别有肝固有动脉和门静脉,这两个血管属于双重血管供应用血。出肝血管是肝静脉系的主血管。       肝血供的1/4来自肝动脉进入肝脏后分为各级分支到小叶间动脉,是通过心脏的动脉血直接输入到肝脏部位,来提供给氧气的方式。...

速递 | 用于肺栓塞的快速诊断,AI工具获美国FDA批准

▎药明康德内容团队编辑近日,RapidAI宣布,其快速肺栓塞分诊和通知(Rapid PE Triage & Notification)产品获得美国FDA的510(k)批准,用于快速识别和诊断肺栓塞。新近研究表明,在过去的十年里,肺栓塞(PE)的死亡率一直在上升,其中65岁以下患者的死亡率上升幅度最大。此外,PE幸存者中,有三分之一的患者PE会在10年内复发。增加对经临床验证的技术的使用将是帮助医院更有效地协调护理,及时做出准确诊断以及让PE患者更快地接受治疗,取得更好结果的关键。...

主动脉夹层患者呼之不应,抢救过程中发现误诊了……

*仅供医学专业人士阅读参考下一步该怎么治?快来支招! 病房值班,交班一览表上列了好几例主动脉夹层,各有特色,都巡视一圈,倒还平稳,其中有一例挺有意思,我个人觉得,没必要收进来啊。患者,女81岁。主诉,检查发现主动脉夹层1天入院。这主诉,很不主动脉夹层吧,查看图像,还真不是常见的类型。夹层范围局限于腹主动脉,累及右髂总动脉,一看就是陈旧性的,假腔已经有轻度扩张,内膜片增厚,局部钙化,假腔内少许血栓。...

医学界心血 2022-05-20

    上海医师在线信息技术有限公司 版权所有 ©   沪ICP备12005625号-1