颈部

什么是甲状腺结节?

所有的甲状腺癌都始于“甲状腺结节”,那么什么是甲状腺结节?甲状腺肿是任何原因引起的甲状腺腺体的肿大,甲状腺肿可以是良性的也可以是恶性的(甲状腺癌)。良性甲状腺肿被分为单纯性甲状腺肿和毒性甲状腺肿,毒性甲状腺肿是指腺体肿大的同时产生过多的甲状腺激素,而导致甲状腺功能亢进或甲状腺毒症。毒性甲状腺肿可以表现为甲状腺弥漫性增大,这种情况也可以称为弥漫性毒性甲状腺肿。绝大多数情况下弥漫性毒性甲状腺肿和格雷夫斯病(Graves病),指的是同一种疾病。19世纪中期爱尔兰的Robert Graves医生发现了弥漫性毒性甲状腺肿伴有甲状腺毒症的患者,因此后来就用他的名字Graves命名了这类疾病。...

颈部按摩后会出现脑梗?

按摩相关性脑梗一、22岁女子按摩后出现大面积脑梗2022年11月“22岁女子按摩后大面积脑梗”新闻登上热搜榜第一,阅读量超过1.4亿。这名宁波22岁女子按摩后出现言语不清,左侧手脚没有力气,根本抬不起来。颈部血管CT的检查结果更是令人大吃一惊:血管CT显示,患者右侧椎动脉重度狭窄,左侧椎动脉闭塞,出现左侧小脑、脑干急性脑梗死,所幸因溶栓及时,脑血管被开通,一周后康复出院。但并不是所有人在接受按摩后出现脑梗死都有这名女子的幸运。有些患者在按摩之后,出现脑梗死,最后后遗症为肢体运动障碍,语言障碍,甚至昏迷、植物生存和死亡。其实这样的例子并不少见,外力是诱发椎动脉或者颈动脉夹层的高危因素。据不完全统计,中国一年因为不当的颈部活动所诱发的血管夹层,进而导致的卒中超过上百例。美国心脏协会(AHA)和美国卒中协会(ASA)也曾就颈部推拿与卒中风险发出联合声明,据其统计,美国8%-25%的中青年卒中为颈动脉夹层所致,而夹层与...

脑血管病预 2023-02-27

腹腔镜胆囊切除 | 如何处理胆囊动脉和胆囊管?

*仅供医学专业人士阅读参考来自日本学者对于LC手术的经验 腹腔镜胆囊切除术(LC)中对胆囊管和胆囊动脉的认识和处理水平,对提高手术质量,减少并发症具有非常重要的意义。本文将分享日本学者Yamamoto Hideo对于LC术中处理胆囊动脉、胆囊管的经验心得。以Rouviere沟为参照腹腔镜操作时,是从下方朝向肝门部观察的,当用钳子将胆囊牵向头侧时,很容易将胆总管误认为胆囊管。我们的做法是:以Rouviere沟为参照,从胆囊侧切开腹膜【图1】。...

医学界外科频道 2023-02-24

个案|伴有呼吸困难的颈前巨大脂肪瘤

Edited by Spine Truth Editorial Team脊柱甘露语林®学术•疾病与健康科普•助学•公益行之2546天,第1563篇脂肪瘤是一种生长缓慢的良性肿瘤,起源于脂肪组织。它们是最常见的间充质肿瘤,约占软组织肿瘤病理的50%,估计每年发病率为1/1000。然而,头颈部受累是罕见的,只有13%的脂肪瘤发生在这个区域。虽然大多数颈部脂肪瘤表现为小的(<5厘米)和单发的位于颈后部的皮下病变,但颈部前部的巨大脂肪瘤是非常罕见的,大部分患者只是美观问题,只有少数报告产生呼吸道症状。...

脊柱甘露语林 2022-09-07

纠正不良姿势,教您几招“弹力带”训练方法

点击蓝字关注我们FOCUS ON US“纠正不良姿势,教您几招“弹力带”训练方法作者:靳梦蝶 上海交通大学医学院附属新华医院主审:杜青  中国康复医学会科学普及工作委员会主委 上海交通大学医学院附属新华医院康复医学科主任提倡全民运动的时代,相信大家对身边的运动器材多少也有些了解,今天我们来认识一种堪比移动“健身房”的训练设备——弹力带(Thera-band)。...

中国康复医 2022-07-08

颈椎病的最佳康复体式——倚墙天使式

很多颈椎病患者不知道该如何正确锻炼颈椎。不少患者采用摇动颈部、后伸颈部等颈部局部活动的方法,这样的方法不仅事倍功半,还有增加颈椎周围神经、血管不良刺激的风险。01颈椎米字操的风险米字操(图1)是大家熟知的颈部练习方法,网上介绍的也很多。图1  颈椎米字操但是米字操作为适度的拉伸放松练习尚可。但如果过度练习可能会造成损害,尤其是颈椎病患者。颈性头晕的患者在练习颈部屈伸旋转时,有可能会对颈部椎动脉和交感神经造成刺激,诱发加重症状(图2)。...

康复你知道 2022-07-07

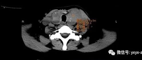
老年女性,双侧颈部包块8年,请诊断!

医学影像  yxyx-app  医学影像APP,打造伴随医生快速成长的影像学习社区。与影像园(Xctmr.com)一起提供最全面的影像案例库、基础(解剖、病理、影像诊断)知识、影像技术及考题等,为医生提供最佳的医学影像参考。【所属科室】内分泌科【基本资料】患者,女,63岁【主诉】发现双侧颈部包块8年余,呼吸急促不畅2天【体格检查】左侧颈部可触及直径5cm包块,右侧颈部可触及3cm包块,质韧,活动度可,压痛(-),包块随吞咽上下活动,颈部未触及肿大淋巴结。...

水突穴:咽喉肿痛、咳嗽、气喘

点上面“我是乡医”关注   助力乡医,你我他,让我们团结起来!水突为经穴名。出《针灸甲乙经》。别名水门、水天。属足阳明胃经。水即水液,突指冲撞,穴在喉结外下方,当咽下饭浆时,可引起局部组织向上冲撞,故名水突。【腧穴释义】水突。水,指穴内的物质为地部水液。突,突破也。该穴名意指胃经的地部经水受心火上炎之热大量气化。本穴物质为人迎穴传来的地部经水,位处颈部,受心火上炎之热经水大量气化,如同釜中之水受热时的翻滚上突之状,故名。...

我是乡医 2022-05-27

关于「枕神经痛」,这7点要知道!

*仅供医学专业人士阅读参考病因、临床表现、诊断线索、影像学表现......枕神经痛在临床中较为常见,临床上以枕大神经痛发病率最高,其次为枕小神经痛。枕神经痛呈阵发性剧烈疼痛,位于枕部和后颈部,向头顶(枕大神经)放射、乳突部(枕小神经)放射和外耳部(耳大神经)放射,沿神经走行的上颈部偶有触痛。疼痛性质多为持续性钝痛,并伴阵发性加剧,也有间歇性发作。头颈部活动、咳嗽、喷嚏时疼痛加剧。本文通过对枕神经痛进行分析整理,希望有助于神经内科医师在临床上快速做出决策。...

医学界神经 2022-05-23

3 年随访不增大的甲状腺,你会选择切除吗?

感谢丁香评论员 @降妖伏魔斗战胜佛 分享的病例~患者:女性,28 岁。主诉:发现左侧甲状腺肿物 4 年余。平素无多饮多食、手颤、怕热多汗,无声嘶、吞咽困难、气促及呼吸困难,体重无明显改变,未行处理。既往无特殊病史,无家族遗传病史。查体:T:36.3 ℃,P:63 次/分,R:20 次/分,BP:136/77 mmHg,体重:67.5 Kg。颈软,气管居中,左侧甲状腺区可触及一直径 3 × 5 cm大小的包块,质地中等,无明显压痛,表面光滑,无粘连,可随吞咽而上下活动,右侧甲状腺未及明显包块,颈部未及明显肿大的淋巴结。颈部未触及震颤,未闻及血管杂音。...

丁香园普外时间 2022-05-18

    上海医师在线信息技术有限公司 版权所有 ©   沪ICP备12005625号-1