胆石症 ( cholelithiasis )
别名: 胆石症;胆石病

【邱飞虎】飞虎闪电针灸诊疗针法治疗各种慢性病、疑难杂症临床技术精品推广班

飞虎闪电针灸诊疗针法易学好懂、见效快、疗程短简单介绍邱飞虎闪电针灸,课程以课堂讲授和实践操作为主,以实用为重点,以疗效为目的,毫无保留全部公开传授大家。一病一针一穴多病。安全可靠、易学易懂、操作简单、入门很快、疗效快速。具有立效、神效、奇效的三重效果。学得一神技,造福千万人。 恶性肿瘤是当今世界危害人类身体健康最严重的疾病之一,以针灸为主,中药为辅提高了病人身体素质,增强疗效,减低毒副反应的治疗效果,为人类战胜癌症开辟了有效的途径。实践证明,中医学治癌有很多突出的优势,具有简、便、验、廉等特点。...

普通外科进展|胆石症基础研究现状与展望

点击上方“中国实用外科杂志” 可以订阅哦!点击阅读原文即刻体验中国实用外科杂志APP

胆结石患者想知道的都在这里

胆囊结石无论大小,不管多少,都有可能需要做手术,有时还需要做急诊手术。

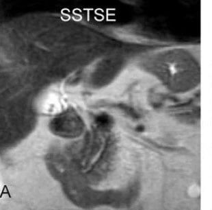
想读懂胆囊及胆管结石MRI表现?快看看这篇文章!

想读懂胆囊及胆管结石MRI表现?快看看这篇文章!

Meta分析:肝内与肝外胆管癌的危险因素都有哪些?

这一研究是迄今为止研究胆管癌危险因素的最全面的meta分析。

治疗狐臭的验方

治狐臭方胡椒、花椒各50粒,研成细粉,加入冰片10克,用医用酒精调匀,每天取一小团涂抹在患处,用绷带固定,每

    上海医师在线信息技术有限公司 版权所有 ©   沪ICP备12005625号-1