肺不张 ( atelectasis )
别名: 肺不张;pulmonary atelectasis;pulmonary closure;肺不张病;肺膨胀不全;肺陷落

【力学笃行】超声下胸腔积液的三种征象

超声下胸腔积液的三种征象胸腔积液在重症患者中常见,本期力学笃行,小编带大家认识在超声下胸腔积液的三种征象:四边形征、正弦波征、水母征。四边形征胸腔积液时将胸膜线与肺表面分离,与上下肋骨的声影一起构成四边形的形状。正弦波征在B超模式下发现胸腔积液时,通过M超扫查可发现,肺表面线随呼吸运动向胸膜线方向运动而呈现类似正弦波样改变。水母征在胸腔大量积液时同时伴有压缩性肺不张情况中,不张肺在胸腔积液中“水母“样“游泳”的现象。...

重症超声研 2022-10-20

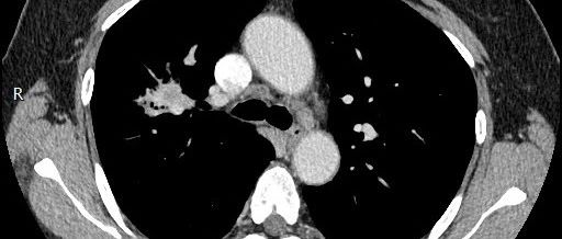
肺动脉 CTA 不会看?这篇教你轻松诊断肺栓塞!

肺栓塞(PE)各位都不会陌生,它的栓子可以是血栓、脂肪栓塞、羊水、肿瘤和空气等,其中由血栓引起的肺栓塞称之为肺血栓栓塞症 PTE 。因其不典型的症状和较高的致死率(诊断不明确的患者死亡率约 30%),肺栓塞一直是临床工作当中的沉默杀手。尽管患者在 48 小时之内接受干预可以获得较好的生存率,但如何早期有效地揪出这个「杀手」始终是临床医生面对的重中之重。CT 肺动脉造影(CTPA)简便、无创,且敏感性和特异性都很高,是诊断肺栓塞的首选检查。本文拟通过分析 CTPA 的图像表现,帮助大家更好地诊断肺栓塞。...

丁香园呼吸时间 2022-09-18

读书报告丨机械通气期间肺康复的最新进展

文章介绍了一些可用的理疗方案,以解决患者个性化问题。简要描述了这些理疗方案的作用机制。目的是为读者提供机械通气患者呼吸管理的最新总结,优化ICU MDT管理。评估呼吸理疗的常规评估项目,包括听诊、胸壁检查。掌握生命体征和心肺相关参数,这包括氧气治疗和解读动脉血气,解读胸部影像,呼吸力学和机械通气模式。解读呼吸机波形,可以帮助指导和评估呼吸理疗的有效性,并降低某些技术相关的风险。肺部超声来识别可能受益于胸部理疗的肺部疾病(肺实变)和不适用或禁忌的疾病(急性肺水肿、气胸)...

中国呼吸治疗 2022-08-01

这种「胸水」,做胸腔穿刺要出大事!

*仅供医学专业人士阅读参考一不小心,就成了骚操作!胸腔积液,胸腔穿刺,都是呼吸内科很常见的临床问题,一般很简单,但是,越是简单,越要小心谨慎,小心驶得万年船。一不小心,就成了骚操作!下面这个CT,感觉如何?外院做的CT,片子不是很清楚。实习同学一看,兴奋地跳起来:"老师,大量胸腔积液,胸腔穿刺,走起!并且报告也说胸腔积液。”一个进修医生也说:“可以留置引流管了。”之前查阅国外文献,看到别人入坑、吃亏、被套路。...

医学界影像 2022-07-08

读书报告 | 冠状动脉旁路移植术后无创通气期间肺复张的效果:一项随机试验

【导读】一项单中心研究结果表明,与心脏手术后仅使用无创通气(NIV)相比,肺复张联合NIV可改善ICU期间患者的氧合并减少肺不张。在NIV期间使用肺复张可以作为改善CABG术后低氧血症患者肺功能的一种策略。未来仍需开展进一步研究以评估其有效性和安全性等指标。摘要目的:肺损伤是冠状动脉旁路移植术(CABG)术后常见并发症,可以通过无创通气来预防或治疗。肺复张策略包括给予低氧血症患者持续气道压力和高水平呼气末正压(PEEP),有利于改善其肺通气和氧合。本研究旨在评估采用无创通气联合肺复张策略能否安全改善CABG术后肺不张和低氧血症患者的氧合。...

中国呼吸治疗 2021-12-09

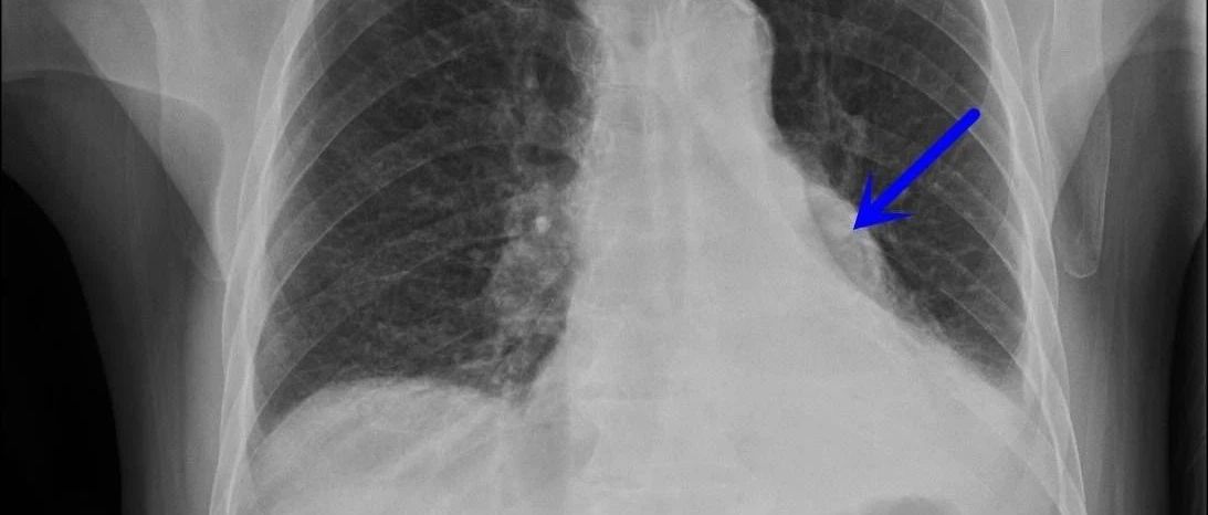
肺不张CT读片太难?看完这篇文章轻松入门!

*仅供医学专业人士阅读参考初学肺CT,肺不张是一个难点。肺不张很多时候需要悟性,需要对正常肺CT的结构非常熟悉,才能轻松应付。初学肺CT时,别人拿着CT瞟一眼:肺不张了,做气管镜!我们学生在旁边一脸懵!什么鬼?怎么就肺不张了?什么是肺不张?我们看着非常地“张”啊。后来慢慢研究肺CT,才发现,大多数的肺不张,真的是太very so easy了!掌握诀窍,分分钟搞定。今天我就和各位小伙伴分享一下肺不张的小诀窍...

医学界呼吸频道 2021-12-08

女性,CEA升高1月伴咳嗽3周,请诊断!

医学影像  yxyx-app  医学影像APP,打造伴随医生快速成长的影像学习社区。与影像园(Xctmr.com)一起提供最全面的影像案例库、基础(解剖、病理、影像诊断)知识、影像技术及考题等,为医生提供最佳的医学影像参考。【所属科室】呼吸科【基本资料】患者,女,63岁【主诉】查体发现CEA升高1月伴咳嗽3周【现病史】患者1月前体检时发现血清CEA明显升高,23.5ng/ml,患者无明显临床症状,无胸背痛。3周前出现咳嗽、偶有痰,无痰中带血。查PET/CT提示右上肺占位。...

医学影像APP 2021-09-17

男性,发现左下肺阴影1周,请诊断!

欢迎大家下载医学影像app,查看更多经典病例!

医学影像APP 2021-07-06

冠状动脉旁路移植术后无创通气策略: 一项随机试验

背景心脏手术术后常伴有肺部并发症,导致住院时间延长,发病率和死亡率增加。肺不张和低氧血症是常见的肺部并发症,

    上海医师在线信息技术有限公司 版权所有 ©   沪ICP备12005625号-1