抗菌素

184篇:没有句号的结束

美国看起来像是躺平,实际上整个医疗服务体系仍然在对付新冠,当成一个常见病在诊治。任何国家,达到与美国类似的疫苗接种率和感染率,又有Paxlovid 这样的药物当后盾,再加上一个胜任的医疗服务体系,就有如此躺平的底气。

诊所的违规是怎么发现的?诊疗行为预警正在盯着你

近日,杭州萧山区瓜沥一家诊所因疫情防控工作不到位,违规接诊了新型冠状病毒肺炎相关症状患者,被卫健执法人员立案查处,给予警告并罚款15000元。全市大大小小的医疗机构超过了5000家一个小诊所里的违规是怎么发现的?其实还是这套屡屡立功的杭州市医疗机构诊疗行为监管预警系统执法人员通过系统时刻盯着全市4990家医疗机构,对不设发热门诊或发热诊室的医疗机构进行诊疗行为在线严控。对机构在诊疗过程中产生的“主诉”、“临床诊断”等数据进行精准识别,若发现该机构违规接诊了...

基层医生俱乐部 2021-12-24

坐地还钱

美国免费诊所一般都是慈善性质,附属于教堂或者一些义工组织。在大城市,医学院学生和住院医师,更是许多这样诊所的主力。药品则是当地药房即将过期的药品,和少许制药公司捐赠。

治疗牙疼引发的急性肾衰竭,是什么情况​?

药物是个“双刃剑”,应用得当能“杀敌立功”,应用不好则反伤自己。

三天打鱼,两天晒网,肾盂肾炎如此治疗迟早会无药可用

这位患者反复的尿路感染,但治疗起来三天打鱼,两天晒网,每次抗菌素使用3天,细菌还没有完全被消灭就停药,结果繁殖的下一代细菌就对这个抗菌素就产生了耐药性。

荒诞医学史:莫扎特死于放血,看古代西方的黑暗医术

许多古代的医术和巫术并没有什么区别。

加州的春天,过敏比新冠更常见

因为花粉不是细菌,没有细菌那样的细胞膜结构和遗传代谢特征,抗菌素都是定点破坏细菌的细微结构,抑制细菌生存和繁殖过程中那些关键生化反应酶,从而抑制或者杀灭它们。所以预防性吃抗菌素就没有意义,特别是没有什么基础疾病的年轻人。因为人家都不在你身体里面,也没什么可杀的啊!

科普 ǀ 消炎药,中国和外国反着用!医生说过多次,可惜少数人知道!

来源:医学论坛网消化界长期征稿:原创稿件及特约作者招募! 投稿邮箱:DDP@high-med.com 消化界 zhgxhj

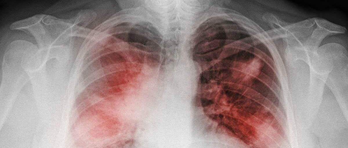
急诊常用评分(3)--临床肺部感染评分(CPIS)

临床肺部感染评分(CPIS)是一项综合了临床、影像学和微生物学标准等来评估感染严重程度,预测患者使用抗菌素时

▷高血压药长期吃,对人伤害大不大?

高血压是目前最常见的慢性病,由高血压导致的心脑血管并发症仍是目前我国居民最主要的死亡原因。一、长期高血压,会导致心脑肾并发症逐渐升高的血压,患者可能没有任何不适,所以许多人不去治疗。但是,高血压如果长期得不到控制,一般5~10年后就会心、脑、肾等重要器官的损害,我们常说的冠心病、心梗、脑出血、脑血栓、肾衰等可怕的疾病都是高血压的恶果。所以,要想健康、长寿,必需控制血压达标。二、高血压是一个终身性疾病,需要终身用药治疗...

    上海医师在线信息技术有限公司 版权所有 ©   沪ICP备12005625号-1